Pioneering Podiatric Excellence
Innovative Techniques in Podiatry
Discover Dr. George Williams' pioneering contributions to foot and ankle care—advancing wound healing, surgical precision, and patient outcomes.
24+ Years of Innovation & Excellence
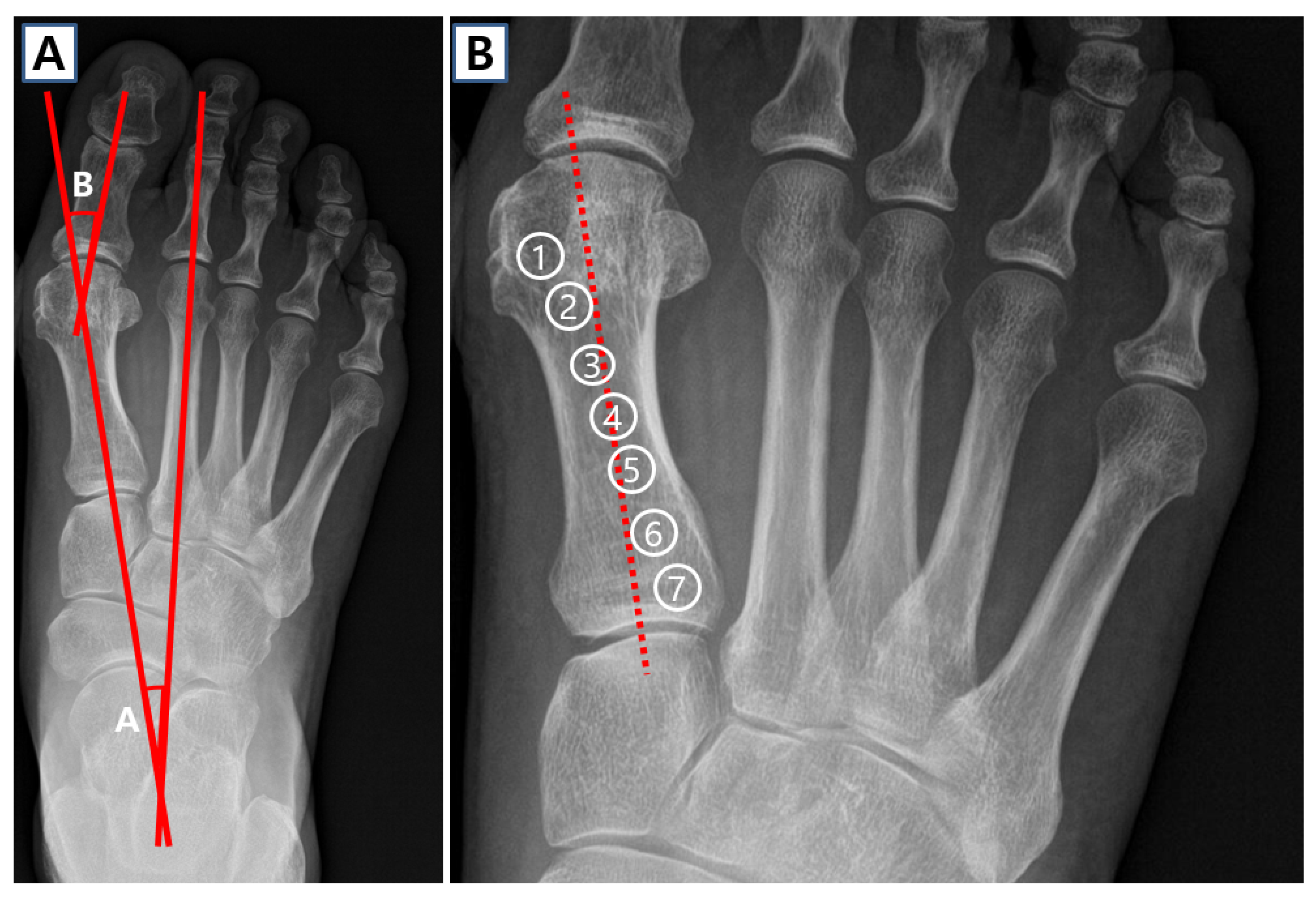
Dr. George Williams is not only a board-certified podiatrist serving the Palm Harbor community—he's a recognized innovator who has contributed to advancing the field of foot and ankle surgery. His pioneering work spans wound healing techniques, surgical evaluation tools, and precision-guided procedures that improve patient outcomes across Florida and beyond.
"My goal has always been to provide patients with the most advanced, evidence-based care available. These innovations represent decades of commitment to improving lives through better podiatric medicine."
— Dr. George F. Williams, DPM
Four Pioneering Contributions
Explore Dr. Williams' innovative techniques that have advanced wound care through clinical research, surgical precision, and evidence-based treatment protocols.
Experience Innovative Care
Benefit from Dr. Williams' expertise and advanced techniques. Schedule your consultation today.
Medical Disclaimer: This information is for educational purposes only and is not a substitute for professional medical advice, diagnosis, or treatment.
Always consult a qualified healthcare professional with any questions you may have regarding a medical condition or treatment.




